Tuberculosis
Contents |
Introducción
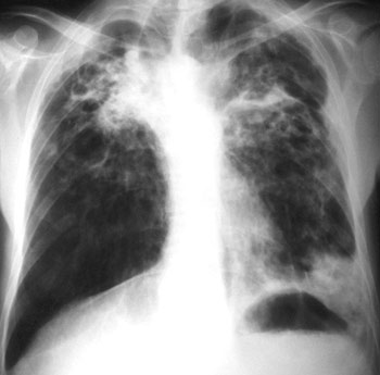
La tuberculosis, antiguamente denominada tisis, es una enfermedad bacteriana que afecta a los pulmones. Recibe este nombre debido a la formación de "tubérculos", es decir, orificos en la cavidad pulmonar.
Historia
Siglo XIX
Durante el siglo XIX se desarrolla un movimiento artístico en Europa conocido como el Romanticismo, en el cual se daba una libertad total de expresión y rienda suelta a sus sentimientos. La tuberculosis fue considerada la "enfermedad de moda" y motor principal de la inspiración de grandes personalidades en todos los ámbitos como Dumas, Chopin, Verdi, Much o Paganini y algunos de ellos murieron devastados por la guadaña certera de esta enfermedad. Así, durante el periodo Romántico, padecer la tuberculosis era considerada un objetivo vital y los artistas que sufrían esta afección eran considerados mejores artistas por lo que esta enfermedad va a ser nociva y va a tener un gran impacto en la demografía del siglo XIX.
Síntomas y transmisión
Los síntomas principales son:
- Dificultad respiratoria
- Dolor torácico
- Tos (algunas veces con expectoración de moco)
- Expectoración con sangre
- Sudoración excesiva, especialmente en la noche
- Fatiga
- Fiebre
- Pérdida de peso
- Sibilancias
La enfermedad se transmite solamente cuando está activa. La tos, los estornudos o una simple conversación pueden resultar suficientes para la transmisión de la tuberculosis.
Tratamiento
Actualmente la tuberculosis se trata con antibióticos y no es una enfermedad muy peligrosa.
Antes de que se descubriese el antibiótico la tisis amenazaba con degenerar la raza y despoblar el mundo creyéndose que era hereditaria y que permanecía latente hasta que afloraba por diferentes razones climáticas, alimentación insuficiente, aire viciado en casa o en el trabajo, trabajo excesivo e incluso causas morales. Sin embargo, en España durante el siglo XVIII se creyó que era una enfermedad contagiosa, extendiéndose ordenanzas avanzadas de higiene pública que fueron derogadas tras las conquistas de Napoleón a comienzos del siglo XIX.
El tratamiento consistía en buena y variada alimentación, habitaciones limpias, trabajo moderado, salubridad en grandes poblaciones, inspección de colegios y el alejamiento de los enfermos para su recuperación en colonias escolares y sanatorios. También se seguían utilizando medicamentos de lo más diverso e ineficaz como el arsénico, el tanino, el yodo, las inhalaciones de alquitrán, la creosota, la ingesta de alcohol, los vomitivos y purgantes y también se difundió la práctica de las sangrías (flebotomía y sanguijuelas) que a menudo causaban más daños que la propia enfermedad.
Fuentes de Información
- De La Figuera, Enrique (2015, junio 18). Enfermedades infecciosas. Las enfermedades más frecuentes del siglo XIX y sus tratamientos. Consultado el 17 de abril de 2015. En: http://ifc.dpz.es/recursos/publicaciones/29/16/11figuera.pdf
- Sauret Valet, Jesús. Historia del Tratamiento de la Tuberculosis. Departamento de Neumología, Hospital de la Santa Creu i Sant Pau. Barcelona.
- Tuberculosis. (2015, junio 18). Wikipedia: La enciclopedia libre. Consultado el 17 de abril de 2015. En: https://es.wikipedia.org/wiki/Tuberculosis
